
Check your needles
THE CHOICE AS THE HANDLING OR MANAGEMENT OF NEEDLES IS EXTREMELY IMPORTANT IN ENDOPEEL TECHNIQUES.
Each time that carbolic or phenic acid goes through a needle, it makes this last- hard - unflexible - easy to break

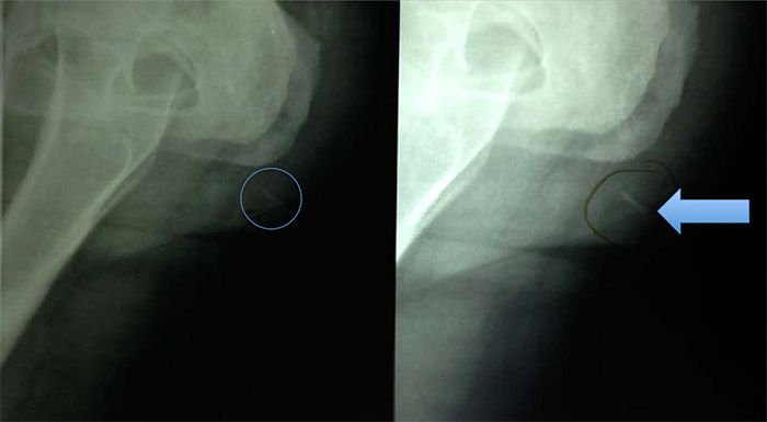
Broken Needle Radiography
On this picture, a needle 27g has been broken in 3 pieces during a gluteopexy by a physician.
The physician didn t take care about the hardness, unflexibility and curve of the needle.
Fortunately the 3 pieces have been eliminated by themselves without damaging the patient: No emergency surgery was needed, following the diagnosis of the radiologist.

MANAGING NEEDLES DURING ENDOPEEL PROCEDURES
In such case, it is easy to understand that following points are important:
- the needle has to be as much flexible as possible. ( That s why we chose BD) -
- never remove the bubbles through the needle, which will be in contact with the patient, otherwise the needle will be hard at 1 st injection, which may create pain and discomfort to the patient.
- never take off the syringe-needle slowly, otherwise you may traumatise the tissues with a ,, hard,, needle, which will provoke an unuseful pain and edema. -
- if you have difficulties to inject, remove immediately the needle from syringe and put a new needle.
- if the patient feels pain at moment of injection, remove the needle from syringe and put a new needle
- control at each injection if your needle is not curved.In case your needle is not any more straight, remove it and put a new needle.
Conclusion
IT IS USUAL TO USE 1 NEEDLE FOR EACH SYRINGE 1 ML BUT PREPARE MORE IN CASE OF !
DO NOT MAKE ECONOMY ON QUALITY AND QUANTITY OF NEEDLES